むし歯治療

むし歯治療には状態に応じた様々な治療法があります。
単に治療するのではなく、患者様の一生の歯の状態を考えた治療を行います。
審美歯科

歯並びや歯の色など、お口の悩みはありませんか?
歯の専門家だからこそ、豊富なメニューでそのお悩みを解決するお手伝いをいたします。
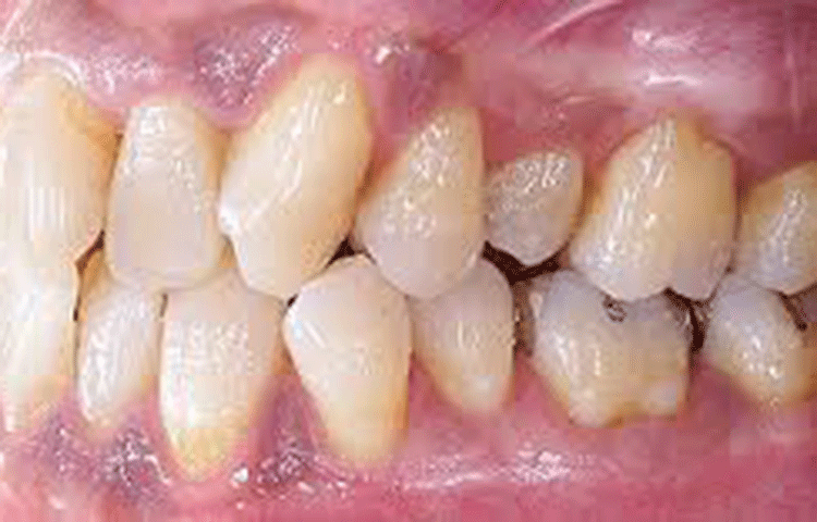
歯周病治療

歯周病は、実は20歳前後の若年層でも多く見受けられています。
歯垢、歯石除去、中等度以上は外科処置も行っています。
予防歯科

毎日の歯磨きだけでは、完璧なお手入れができないのが現状です。
歯石や歯垢、歯の着色を落とす歯のクリーニングをぜひ受診して下さい。
自費メンテナンス

お口の状況は、ひとりひとり違います。
ありい歯科では、患者様のお口の状況に合わせたオーダーメイドのケアも行っています。
入れ歯治療

高齢化社会を迎え、入れ歯の役割はとても大きくなっています。
入れ歯の新規作成から調整まで、お悩みをじっくりお聞きいたします。
インプラント治療

インプラントとは、歯を失った所に歯を入れる治療方法のひとつです。
かみ合わせ治療

目の前の痛みの治療も大事ですが、基盤となる正しい噛み合わせはとても大切です。
噛み合わせも自然と変化するため、定期的なメンテナンスが必要となります。
ホワイトニング

気になる歯の着色や黄ばみを、歯を削らずに白くするのが「歯のホワイトニング」です。
ご希望に合ったホワイトニングのプランをご提案させて頂きます。




