金属床義歯について、こちらの動画をご覧下さい
入れ歯の悩み、一緒に解決いたします!

なくなった歯を補う治療法として、いちばん歴史があってよく知られているのが「義歯(いわゆる「入れ歯」)」を使う方法です。
美味しく食事を楽しんで頂くために、楽しくおしゃべりして頂くために、当院でも、随時入れ歯の作成や調整を行っております。
もちろん、他医院で作られた入れ歯の調整も可能です。
入れ歯に関するお悩みがあれば、遠慮なさらずお話下さい。
ありい歯科での「入れ歯治療」は時間が掛かるのにも関わらず
口コミ紹介の患者様が多いのは何故か?
入れ歯の悩みに、科学的根拠に基づいた治療をしています。
入れ歯の悩みは皆さんそれぞれ・・・
「入れ歯が合わない」
「痛くて噛めない」
「入れ歯が外れる」
毎日の食事のたびに感じるストレス。入れ歯だから仕方が無いと諦めてしまっていませんか?
また、自分に合う歯医者さんが見つからない・・・と、長い間、歯科医院を転々としていませんか?
では入れ歯が合わない原因は何か?
その答えは・・・
本来噛むべき位置で噛めていないこと。
でも、自分で「本来噛むべき位置」が分かっている方はいないと思います。
そもそも無意識に行われるものだからです。
だからこそ「検査」。
あなたにも分からなかった「噛み合わせの問題点」が見えてくるのです。
入れ歯は身体の一部です。
歯科医師の経験や勘だけに頼った治療ではダメなのです。
医学的根拠に基づいて作製されてはじめて、無意識に違和感無く噛める、フィットした入れ歯が出来るのです。
ありい歯科の入れ歯治療へのこだわり
- 「科学にもとづいた緻密な検査」を行い、入れ歯が合わない原因をきちんと調べます。
- 「医学的根拠のある治療」「精密な型採り」を妥協せずに行います。

検査機器。一般の歯科医院では殆ど導入されていない。
ありい歯科で治療される場合には
「部分入れ歯」の場合は、個々のお口の状態による違いを診断にいれ、なんと2億通りのパターンの中から、あなたに合った入れ歯の設計を決めています。
「総入れ歯」の方の場合は、本来噛むべき位置は 1つ ですので この1つしかない位置で正しく噛めるように診ていきます。
新しい入れ歯に作り替えたいと来院される患者様の多くは、ありい歯科での入れ歯治療と他の歯科医院で受けた治療の違いに驚かれます。
そして、ありい歯科で精密な検査を受けて、噛み合わせのズレがあること、下顎のブレがあることに気付くケースが多いのです。

「入れ歯は型採りしたら、すぐ出来るもの」と思っておられる方は、ありい歯科の入れ歯治療は大変に思われるかも知れません。
ありい歯科では、一つ一つの行程を妥協せずに行っていきますので、治療される患者様のご理解とご協力が欠かせないからです。
初めは戸惑っていた患者様も、治療を重ねるごとに噛めるようになると、治療に協力して下さいます。(歯科医師として大変ありがたいことです)
同じ悩みを抱えるお知り合いの方に、ありい歯科を紹介して下さるのも、噛める実体験をされたからだと思います。
患者様に、フィットして違和感無く噛める入れ歯を使っていただきたい!
今までの入れ歯の悩みから開放され、笑顔になっていただきたい!
私は本気でそう思っています。
”入れ歯”の役割を知ることは、快適な入れ歯への第一歩
「歯が無くなったら、入れ歯を入れる」
昔からの一般的な治療法「入れ歯」。その始まりは古く、なんと紀元前と言われています。
医療技術が進歩した今でも「痛い」「落ちてしまう」「がたつく」「よく噛めない」「話しづらい」など、不具合に悩んでおられる方や、噛めないのは入れ歯だから仕方が無いと諦めてしまっている方が多くいるのが実情です。
入れ歯は「義歯」ともいいます。義足や義手、人工臓器と同様に大切な身体の一部なのです。
ここでは、そんな大切な「入れ歯」の役割をお伝えしたいと思います。
入れ歯の役割1:咀嚼(そしゃく)
入れ歯には歯を失ったことによる咀嚼機能の低下を補い、回復させる役割があります。 咀嚼によって食べ物を細かく噛み砕き、すりつぶし、唾液と混ぜ合わせて胃で消化されやすい状態にします。入れ歯の役割2:噛み合わせの安定

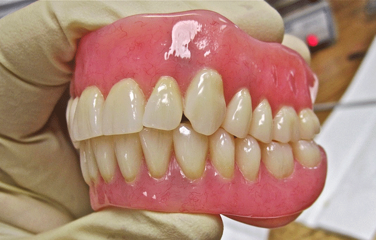
入れ歯の種類について
金属床義歯

どんな入れ歯?
入れ歯の土台となる部分を金属で作る入れ歯です。 金属を使用することで、薄い土台でも強度を持つことができ、より自然な装着感があります。 また、金属が熱や冷たさを伝えるので、食べ物の味そのものの味を味わえます。メリットは?
熱や冷たさを良く伝えるので、食事を楽しく召し上がれます。 土台が薄いので、装着した時に違和感が少ないです。ノンクラスプデンチャー

どんな入れ歯?
金属のバネを使用しないため、目立ちにくい部分入れ歯です。 通常の入れ歯に使用されるプラスチックよりも、強く弾性のある特殊な素材で作る入れ歯です。メリットは?
金属のバネを使わないので見た目に入れ歯と分かりにくい。 強い樹脂を使うことで床が薄く出来るので、装着感が良くなります。 部分入れ歯をお使いの皆さんは、金属のバネを歯にひっかけていらっしゃると思います。 このバネには、入れ歯を横揺れ・沈み込みから防ぐ役割があります。 噛む力はかなり強いので、入れ歯に使うバネは強い強い維持力や把握力を持つ材質の金属を使う必要があるのです。 でも、奥歯にバネをかけるならともかく、前歯にだと・・・見た目が気になる方も多いのではないでしょうか。 その悩みを減らすために「バネが見えにくい入れ歯」があります。 入れ歯の素材も普通のプラスチックよりも強いものを使い、バネも歯ぐきと同じ色のものを使うため、見た目に入れ歯と分かりにくい構造になっています。 一歩進んだ治療のため、保険適用ではありませんが、見た目を気にされる患者様には好評です。入れ歯のQ&A
- 入れ歯の種類にはどんなものがありますか?
- 入れ歯には様々な種類があります。大きく分けると、本体が樹脂(レジン等)だけのものと、一部金属を使ったものに分けられます。入れ歯をお考えの場合、事前に医師と相談し選ぶことをおすすめします。
- 入れ歯は目立ちますか?
- 多少は義歯と分かる面もありますが、弾性樹脂義歯(フレキシブルデンチャー)など金属部分が見えない義歯もあります。詳しくは医師までご相談下さい。
- 入れ歯を長持ちさせる方法はありますか?
- まず定期的に健診を受けることが長持ちの秘訣です。就寝時は取り外し、水の中に入れて保存して下さい。 また、入れ歯は高温に弱いので、入浴などは特に問題ありませんが、サウナ等を利用される場合は入れ歯を取り外すことをおすすめします。
入れ歯が合わない場合

合わない入れ歯を無理して使っていると、あごの骨が徐々にすり減っていくことになります。
そうなるとさらに入れ歯は合わなくなり、悪循環に陥ってしまいます。
少しでも違和感がある場合は我慢なさらずにお申し出下さい。
入れ歯の種類
一般的な保険の入れ歯
小さな部分入れ歯も、噛み合わせのためには重要です。

保険対象外の入れ歯
総入れ歯
入れ歯の床にコバルトクロムやチタンなどを使用したもの。 保険の入れ歯よりも厚みを薄く作ることができます。 厚みを薄くできることで違和感も少なく、たわみや変形も少ないので、しっかりと安定した噛み心地が期待できます。| ゴールド | 2,506,350円 |
|---|---|
| チタン | 356,400円 |
| 純チタン・チタン合金 | 466,730円 |
| コバルトクロム・超硬質 | 360,910円 |
| コバルトクロム・スタンダード | 288,750円 |
| 治療期間目安 | 4~6回 |
| 治療回数目安 | 1ヶ月~2ヶ月 |
| リスク、副作用 | 治療箇所、残っている歯の本数、かみ合わせの具合などにより、治療回数、期間は異なります。 |
部分入れ歯
| ゴールド | 2,506,350円 |
|---|---|
| チタン | 356,400円 |
| 純チタン・チタン合金 | 466,730円 |
| コバルトクロム・超硬質 | 360,910円 |
| コバルトクロム・スタンダード | 288,750円 |
| コーヌス | 別途見積り |
| 治療期間目安 | 4~6回 |
| 治療回数目安 | 1ヶ月~2ヶ月 |
| リスク、副作用 | 治療箇所、残っている歯の本数、かみ合わせの具合などにより、治療回数、期間は異なります。 |
ノンクラスプデンチャー(オプション)

※ノンクラスプデンチャーをご希望の場合は、入れ歯の料金+オプション料金としてお支払いいただきます。
| 1~3歯 | +27,500円 |
|---|---|
| 4~7歯 | +33,000円 |
| 8~14歯 | +37,400円 |
| 治療期間目安 | 4~6回 |
| 治療回数目安 | 1ヶ月~2ヶ月 |
| リスク、副作用 | 治療箇所、残っている歯の本数、かみ合わせの具合などにより、治療回数、期間は異なります。 |




